La detección casual de quistes pineales en estudios de Resonancia Magnética (RM) es frecuente, variando mucho su prevalencia en función de la técnica empleada (oscila del 1 al 35% de los adultos). No se han identificado guías de práctica clínica, ni ensayos clínicos que evalúen diferentes opciones durante el seguimeinto y las recomendaciones están basadas en series de casos. De acuerdo con estos estudios, en las personas adultas asintomáticas en las que se ha detectado accidentalmente un quiste pineal, el seguimiento sería clínico, sin necesidad de realizar pruebas de imagen. En los casos detectados en pediatría (sobre todo en niños menores de 6 años) podría estar indicado un seguimiento clínico y con pruebas de imagen durante un tiempo, para asegurar la estabilidad. En los casos en los que se detecte crecimiento del quiste y/o aparición de síntomas habría que hacer una valoración de opciones terapéuticas neuroquirúrgicas.
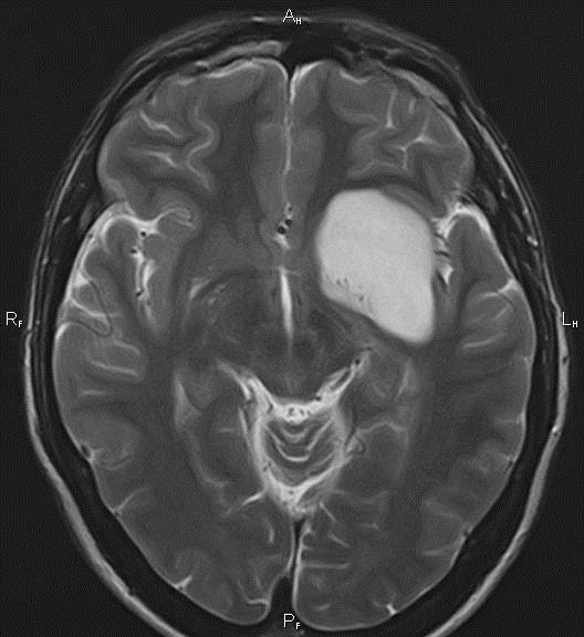
Quiste cerebral
Un quiste cerebral es un saco anormal lleno de líquido ubicado en el cerebro. Puede contener sangre, pus u otro tipo de material. En el cerebro, es posible que un quiste contenga líquido cefalorraquídeo (“CSF”, por sus siglas en inglés). Normalmente ese líquido baña y amortigua el cerebro y la médula espinal. Es frecuente que los quistes cerebrales comiencen a formarse antes del nacimiento.
Un quiste cerebral suele ser benigno (no canceroso). Benigno también quiere decir que el crecimiento no llega a otras partes del cuerpo. Sin embargo, aun cuando un quiste cerebral no sea un cáncer, igualmente puede causar problemas. El quiste puede hacer presión contra el tejido del cerebro y causar síntomas, como dolor de cabeza, problemas de la visión o náuseas.
Quiste pineal. Se presenta en la glándula pineal, en el medio del cerebro. Generalmente este tipo de quiste solo se descubre en un procedimiento de exploración por imágenes que se le realiza a la persona por otra razón. Un quiste pineal usualmente no causa problemas. Si crece mucho, a veces puede afectar la visión. Este tipo de quiste puede aparecer en personas de cualquier edad.
¿Qué causa un quiste cerebral?
En muchos casos, un quiste cerebral se forma durante las primeras semanas de crecimiento de un bebé en el útero. En casos poco frecuentes, se puede formar un quiste aracnoideo después de una lesión en la cabeza u otro traumatismo en el cerebro. También es posible que haya una relación entre un quiste cerebral y un tumor canceroso o benigno. En muchos casos, la causa de un quiste cerebral se desconoce.
Síntomas de un quiste cerebral
Es posible que no cause síntomas, a menos que se agrande mucho. Los síntomas dependen del lugar del cerebro en donde está creciendo el quiste. La causa de los síntomas puede ser el bloqueo de la circulación (flujo) normal del líquido cefalorraquídeo. Esto puede aumentar la presión en el cerebro (presión intracraneal).
Los síntomas pueden ser levemente distintos en cada persona, pero pueden incluir:
- Dolor de cabeza (común)
- Náuseas y vómitos
- Vértigo o mareo
- Problemas auditivos o visuales
- Dificultades para mantener el equilibrio y caminar
- Dolor en la cara
- Convulsiones (infrecuente)
El diagnóstico de un quiste cerebral
Es posible que se detecte un quiste cerebral al aparecer en un estudio de exploración por imágenes que se realiza por otro motivo. En otros casos, es posible que usted tenga síntomas por el quiste. Su proveedor de atención médica primaria probablemente le remitirá a un neurólogo. Este es un médico que diagnostica y trata afecciones del sistema nervioso central. O quizá le remita a un neurocirujano. Este es un médico que hace cirugías en el cerebro o la médula espinal.
Su proveedor de atención médica le preguntará acerca de su historial médico y síntomas. También le realizará un examen físico. Este puede incluir un examen neurológico. Es posible que se realicen estudios de diagnóstico por imágenes para observar el cerebro. Podría usarse un medio de contraste (tinte) para ayudar a obtener una imagen con más detalles. Estas pruebas pueden incluir:
- Tomografía computarizada. Es un examen que utiliza una serie de radiografías y una computadora para crear imágenes del interior del cuerpo. Es posible que este tipo de exploración se realice en su cerebro y médula espinal.
- Resonancia magnética. Esta prueba usa grandes imanes y una computadora para crear imágenes del cuerpo. Las exploraciones de imágenes por resonancia magnética de su cerebro y médula espinal se pueden realizar para obtener más información sobre el quiste y los tejidos cercanos.
Es posible que con el paso del tiempo se hagan más exploraciones para saber si el quiste está creciendo.
Tratamiento de un quiste cerebral
Si el quiste es pequeño, no está creciendo, y no es probable que cause síntomas, probablemente su proveedor de atención médica le recomiende vigilarlo. Esto se hace con pruebas de diagnóstico por imágenes a través del tiempo. Si usted presenta síntomas, es posible que necesite una cirugía para extraer el quiste. El tratamiento puede variar según el tipo de quiste.
El sumario de evidencia de Uptodate(1) en relación a los quistes pineales asintomáticos señala que:
- Del 1 al 4% de personas sanas se detecta en RM quistes pineales.
- La mayoría de quistes son silentes y permanecen así durante muchos años. En algunos casos se colapsan y desaparecen espontáneamente y otros, los menos, pueden aumentar de tamaño. Es importante diferenciar en los estudios de imagen los quistes pineales con los tumores pineales de parénquima.
- Cita una serie amplia de casos en pediatría(2) en los que se realizó un seguimiento con RM. De 106 pacientes en los que se detectó un quiste pineal, en 98 no aumentaron de tamaño desde su detección, en 6 aumentaron de tamaño y 2 mostraron cambios en sus características sin que aumentara el tamaño. Los detectados a una edad más joven tenían mayor tendencia al crecimiento del quiste. La edad media de los pacientes en los que aumentaba el tamaño era de 5,5 años y de 12,2 años en los que el tamaño fue estable. Ni el tamaño inicial, ni el sexo, ni la apariencia de la RM fueron predictores de crecimiento del quiste. Concluye que, en niños pequeños, podría estar recomendado la realización periódica de RM y que podría ser optativo su realización en niños de mayor edad.
- Los quistes pineales pequeños y asintomáticos no requieren ningún tratamiento. Si crecen y/o producen síntomas, sería necesario hacer una valoración de las opciones terapeúticas de neurocirugía.
- Algunos autores recomiendan seguimiento con estudios de neuro-imagen para asegurar la estabilidad, sobre todo en quistes más grandes, de tamaño de 10 a 14 mm; dado que si aumentaran algo de tamaño podrían producir síntomas. Mientras que otros autores optan por un seguimiento exclusivamente clínico.
Una serie amplia de casos en adultos (> 18 años) muestra que de 48.417 estudios consecutivos de RM cerebral, en el 1% se detectaron quistes pineales asintomáticos de un tamaño igual o mayor a 5 mm (3). En los 151 pacientes que se siguieron al menos 6 meses (media de 3,4 años), 124 permanecieron estables, en 23 disminuyó el tamaño y solo en 4 aumentó el tamaño del quiste. Los quistes con mayor tamaño en el momento de la detección fueron en los que, con mayor frecuencia, disminuyó su tamaño posteriormente. Ni el sexo, ni la edad,ni la presencia de septos en el momento del diagnóstico, se asoció a cambios en la evolución. El estudio concluye que, en adultos asintomáticos, no sería obligado la realización de pruebas de imagen durante el seguimiento.
Dos revisiones sistemáticas de la literatura coinciden en que la gran mayoría de los quistes pineales no aumentan de tamaño con el tiempo y, dado que hay un cierto riesgo de un comienzo brusco súbito a edades más tempranas, se recomienda un seguimiento radiológico y clínico en la edad pediátrica.
En series de pacientes, o de adultos sanos, cuando se utilizan técnicas de RM de alta resolución la prevalencia de detección de quistes pineales aumenta hasta un 25, o un 35% de los casos.
Un informe rápido de evaluación de tecnologías sanitarias canadiense publicado en 2012, no identificó ni ensayos clínicos, ni guías de práctica clínica para el diagnóstico y tratamiento de quistes pineales. Señala su elevada detección con estudios de RM y que hay evidencia limitada sobre las recomendaciones de diagnóstico y de seguimiento, al estar basada en estudios de series de casos.
Hola buenas noches quisiera algún método o correo para enviar la foto del quistes que tiene mi hija ya que en algunas ocasiones le provoca convulsiones…
Buenas noches:
Desde hoy sé que tengo un quiste pineal de 7 mm, al menos eso media en dic de 2019.
Me gustaría saber si esto tiene que ver con que me aparezcan en el cuero cabelludo pequeños bultitos con líquido dentro.
Muchas gracias. Saludos.
Buenas noches, quisiera saber si la formación del quiste pineal en una niña puede estar asociado a una caída de bebé y por lo cuál se golpeo en la cabeza, o por pasar por situaciones angustiantes, dolorosas,(emocionalmente). Muchas gracias.
Tengo 42 años i me han encontrado un quiste pineal de 4mm debo preocuparme
Toda mi juventud padeci insomnio hasta la fecha de hoy, hace 6 años tuve un acidente automovilistico y de ahi empeze con intensos dolores de cabeza, al principio una tramadol de 50ml me lo calmaba pero fui empeorando me hcieron estudios y salia nada, pero yo siento una presion espantosa 24 horas al dia y aparte de eso tengo un dolor insoportable en el mero centro de mi cerebro, empeze poco a poco a ir olvidando todo de un minuto a otro, empeze a no poder recordar cosas muy simples, manejaba y se me hiba la mente y mi troca se hiba hacia un lado, me paraba en stop esperando luz verde, o de pronto me paraba en luz verde esperando la luz verde, de pronto hiba manejando y me asustaba c el vehiculo de enseguida y me sobresaltaba..deje de manejar. Visite un quiropractico y me hizo ciertos examenes y me dijo tu cerebro esta muy inflamado te esta pasando todo esto p q esta tan inflamado q tus neuronas estan dejando de funcionar y quizas no lo sientes pero tu cabeza tiembla no puede c tanta inflamacion, me vio el especialista de el dolor no pudo, me vio otro y nada me vio el neurologo y tampoco pudo, llegue a la sala de emergencia me dieron morfina y no se me quitaba asi q ya los sintomas han ido empeorando desde q empeze c estos dolores en una nausea todo el tiempo 24 horas al dia de dolor insoportable, presion, nausea, fatiga, inmsomnio cronico jamas puedo dormir si no tomo pastila de dormir, ya la presion revienta las venas de mis ojos y siento c si tuvieran estirando mis ojos c ligas siento rigidos mis ojos, fuertes punzadas por detras de los ojos, dolor de oidos, mareos he llegado a estar a punto de desmayarme, y resulta que ni un doctor me ha podido decir q tengo, mirando lo q es DISFUNCION DE LA GLANDULA PINEAL version en ingles en medicina encontre todos mis sintomas q son demasiados hasta ep grado de sentirme enloquecer y desear desde hace mucho ya no querer vivir p q ya no aguanto esto pero sigo aqui luchando p q tengo un hijo especial q no puede hacer nada por si solo p el sigo aqui intentando seguir luchando c algo q no se c remediar, el estudio q lei dice q es muy dificil encontrar esta disfuncion c estudios de fotografia de el cerebro en las diversas formas q hay. A quien no sepa q significa vivir 24 horas en dolor, nauseas, mareos, temblor, olvido, y empezar a tartamudear y tardar horas o meses p recordar algo q es tan simple c una fruta o un arbol etc esto es vivir un infierno, dice el articulo q si esto no se atiende c el tiempo pega Alzhaimer o Equizofremia o cancer en la pineal etc. Y para alguien q lea esto y este pasando p estos mismos sintomas y ya sea q le vaya empezando o tenga ya años c yo q llevo 6 ya casi 7 les digo ya q empiezan a olvidar las cosas y q en medio de una platica te pierdes o no recuerdas palabras c por que o es que fui o en la hielera y te quedas tratando de recordar las palabras y duras en la platica tiempo p q te detienes una y otra vez p q olvidas busca informacion sobre suplementos que fortalecen el cerebro y suplementos q regeneran celulas yo empeze a tomar estos asi que deje de ir perdiendo la memoria, deje de tartamudear y ya puedo manejar el dolor sigue ahi y el inmsonio y nauseas continuan pero al menos mi cerebro sigue funcionando otra vez..
Hola es un caso para un medico, después de consultar a un experto con todo gusto le cotizamos los estudios pertinentes.
Hola a mí hija la desubrieron el quiste en la quiste pineal en el celebro dos el más grande de 6 mm solo tiene dolor de cabeza me estoy volviendo loca me podías decir algunas cosas q tengo q hacer ella de pequeña cojio un virus a la cabeza será de eso q se le iso los quistes tiene 9 años mi nena gracias
Una situación médica compleja debe ser consultada por su especialista, si le sirve de algo podemos interpretar su imagen si ya tiene el estudio, saludos.
Tengo un nene de 12 años, le detectaron derrame en la retina del ojo, hicieron resonancia con contraste y detectaron un quiste pineal de 4,7 x 3,3 estoy muy preocupada , alguien me podría informar de esto?