RM de abdomen

RM de abdomen

RM de abdomen

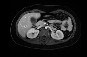
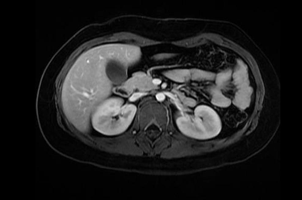
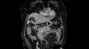
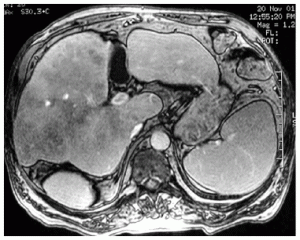
Resonancia magnética de abdomen es un examen de imagen que utiliza imanes y ondas de radio potentes para crear imágenes del interior del área abdominal. No emplea radiación (rayos X). Las imágenes por resonancia magnética solas se denominan cortes y se pueden almacenar en una computadora o imprimir en una película. Un examen produce docenas o algunas veces cientos de imágenes.

Algunos exámenes requieren un tinte especial (medio de contraste). La mayoría de las veces, el tinte se administra a través de una vena (IV) en la mano o el antebrazo antes del examen. Este medio de contraste ayuda al radiólogo a observar ciertas áreas más claramente.

Una resonancia magnética del abdomen proporciona imágenes detalladas del área ventral desde muchos planos. Con frecuencia, se utiliza para clarificar hallazgos de radiografías o tomografías computarizadas previas.

Este examen se puede utilizar para examinar:

  • Flujo sanguíneo en el abdomen
  • Vasos sanguíneos en el abdomen
  • La causa de hinchazón o dolor abdominal
  • La causa de resultados anormales en exámenes de sangre, como problemas renales o hepáticos
  • Ganglios linfáticos en el abdomen

Una resonancia magnética puede diferenciar tumores de tejidos normales. Esto puede ayudarle al médico a conocer más acerca del tumor, como el tamaño, la gravedad y la propagación, lo cual se denomina estadificación.

En Diagnostico Especializado por Imagen contamos con un nuevo equipo de resonancia magnética digital de alto campo, el cual genera imágenes de  alta calidad en High Definition (HD) y agiliza de forma significativa el tiempo de estudio. para su comodidad contamos con instalaciones muy cómodas y el personal altamente calificado para garantizar la calidad de todos y cada uno de nuestros estudios.

 

RM de abdomen RM de abdomen
RM de abdomen RM de abdomen

 

 

 

.

Powered by seowmx | Hosted by turboho