Resonancia Magnética Cardiovascular Con mas de diez años de experiencia en el servicio de Imagenología y diagnostico, presentamos con orgullo nuestro nuevo equipo de Resonancia Magnética, con el cual además de ofrecer toda la gama de estudios que tenemos en la actualidad, nos incorporamos al área de Cardiología. Queremos formar parte de su equipo de trabajo y brindarle los estudios de última generación, y de la más ata calidad, que usted merece.
somos uno de los pocos centros privados que actualmente dispone de un equipo de Resonancia Magnética para realizar estudios cardiovasculares, una técnica de última generación para la evaluación de pacientes con cardiopatías, y de la tecnología más avanzada para realizarlos (equipo RM de alto campo, antena específica para estudios cardíacos, software avanzado de reconstrucción de imágenes en 3D y grabación de CD e impresión de imágenes a color).
En la actualidad La Resonancia Magnética es una técnica de imagen que permite en un solo estudio, evaluar la morfología del corazón, los grandes vasos y las estructuras mediastinales adyacentes y además analizar y cuantificar la función cardiaca global y regional de forma inocua y reproducible. Esta información cuantitativa tiene una gran importancia pues permite determinar en forma objetiva los efectos del tratamiento médico o quirúrgico. Constituye una importante herramienta diagnóstica, no invasiva, y con una alta calidad de diagnostico.
Además de su óptima definición estructural, aporta datos que permiten una cierta caracterización del tejido y una información simultánea sobre la función y la viabilidad cardiacas. Por otra parte, en combinación con una provocación farmacológica con sustancias vasodilatadoras o inotrópicas, la RMC permite diagnosticar la isquemia. La RMC de estrés se utiliza de manera creciente para el diagnóstico y la valoración de la isquemia y la viabilidad miocárdicas, y proporciona una evaluación segura y efectiva de los pacientes con enfermedad coronaria
En DIAGNOSTICO ESPECIALIZADO POR IMAGEN Contamos con la más alta tecnología, la Resonancia Magnética más poderosa de la región, con médicos radiólogos certificados para realizar un preciso diagnóstico además de la calidad humana que siempre nos ha distinguido.
-
Evaluación de coronarias 3D
Por primera vez en Guadalajara le presentamos las nuevas secuencias 3D para estudio de las arterias coronarias por cardio-RM, las cuales permiten obtener imágenes resolutivas de sus segmentos proximal y medio, sin la necesidad de utilizar contraste paramagnético, de utilidad para la práctica clínica.
Las principales ventajas de nuestro nuevo cardio-RM son la ausencia de radiación ionizante así como de contrastes yodados. La posibilidad de estudiar las arterias coronarias en el momento actual, culmina el concepto de “todo en uno” ( one stop shop) como la técnica que puede valorar en un solo estudio todo el espectro anatómico y funcional de la cardiopatía isquémica.
“La forma mas eficiente de observar la correlación anatómica y funcional”.
-
Test de Isquemia
La opción de la RMC en la evaluación de isquemia miocárdica, es principalmente útil en pacientes incapaces de ejercitarse hasta cargas de trabajo adecuadas y en aquellos que tienen trastornos de conducción en el ECG. Además es importante remarcar, que junto a las excelentes condiciones que posee la RMC para la detección de isquemia miocárdica, se agregan los datos adicionales que aporta sobre función y estructura cardíaca. Esto hace que la RMC sea una herramienta muy útil para el estudio de las cardiopatías congénitas, las miocardiopatías, y para valorar la presencia de viabilidad miocárdica.
-
Reforzamiento tardío
La RM cuenta con una técnica de gran utilidad en la evaluación de viabilidad que determina zonas de necrosis y su extensión posterior a la administración de material de contraste al aplicar una secuencia inversión recuperación que anula el tejido miocárdico normal, lo cual favorece el contraste de las zonas que permanecen hiperintensas.
-
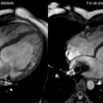
Evaluación funcional y anatómica
Mediante secuencias morfológicas (spin echo) y funcionales de cine-RM (gradient echo), proporciona información precisa acerca de:
-Dimensiones de cavidades cardiacas
– Grosor parietal
– Masa ventricular
– Volúmenes
– Función sistólica ventricular, global y segmentaria.
– Funcion diastolica.
-
Valvulopatías
Aunque la ecocardiografía Doppler continúa siendo la modalidad de imagen más utilizada en la evaluación de la enfermedad valvular, esta técnica presenta algunas limitaciones que pueden reducir la calidad de los estudios y dificultar la interpretación de los resultados. La resonancia magnética cardiaca puede llegar a ser superior a la ecocardiografía en algunos aspectos, que incluyen la valoración de las dimensiones, los volúmenes, la función y la masa ventriculares, la cuantificación de las insuficiencias valvulares y el estudio de áreas de fibrosis en el miocardio y de las estructuras extracardiacas. Se utiliza para ello una serie de secuencias de pulso, creadas para adquirir información sobre aspectos específicos de la caracterización tisular y de los flujos transvalvulares. Este artículo de divulgación general se centra en la utilidad clínica de la resonancia magnética en el diagnóstico de la enfermedad valvular y revisa cómo se integran los datos obtenidos mediante resonancia magnética cardiaca en los algoritmos de manejo clínico de los pacientes con lesiones valvulares significativas.
Por inauguración pregunta por nuestros precios especiales***
RESONANCIA MAGNETICA CARDIOVASCULAR
1) ANATOMICO / FUNCIONAL
a) ECO DE SPIN
b) FAT SAT
c) FIESTA
d) REFORZAMIENTO TARDIO CON GADOLINIO (PBABLE)
e) *REQUIERE AYUNO
2) FUNCIONAL
a) ECO DE SPIN
b) CONTRASTE DE FASE
c) *NO GADOLINIO
d) *NO AYUNO
3) ISQUEMIA / VIABILIDAD
a) ADENOSINO
b) CONTROL ELECTROCARDIOGRAFICO
c) FUNCIONAL
d) REFORZAMIENTO TARDIO CON GADOLINIO
e) *REQUIERE AYUNO




