Imágenes por RM para monitorizar la esclerosis múltiple
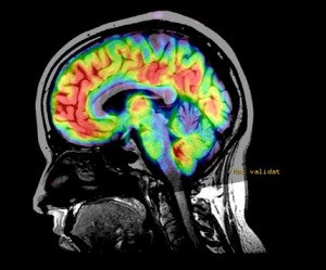
Imagen: El Dr. Ravi Menon, un científico de imágenes del Instituto de Investigación Robarts de la Universidad del Oeste, utiliza RM de susceptibilidad cuantitativa para mostrar y medir el daño producido en áreas específicas del cerebro, lo cual demostró el estudio que es común a todos los pacientes de EM y del síndrome clínicamente aislado (CIS) (Fotografía cortesía de la Universidad del Oeste).
Investigadores canadienses de imagenología han desarrollado una mejor manera de controlar la progresión de la esclerosis múltiple (EM) en sus etapas más tempranas.
Dirigidos por Ravi Menon, PhD, del Instituto de Investigación Robarts de la Universidad del Oeste (London, Canadá), los investigadores utilizaron una nueva aplicación llamada obtención de imágenes por resonancia magnética (RM) de susceptibilidad cuantitativa (QS), para medir un deterioro de áreas específicas del cerebro, que el estudio mostró que es común a todos los pacientes. Los hallazgos fueron publicados en línea el 28 de mayo de 2014, en la revista Radiology.
“En la investigación sobre EM, hay algo que llamamos una paradoja clínico-radiológica. Al hacer resonancias magnéticas convencionales a estos pacientes se ven con mucha claridad lesiones en el cerebro, pero el número y el volumen de esas lesiones no se correlacionan con la discapacidad de los pacientes. Esta paradoja ha sido reconocida desde cuando se introdujo la resonancia magnética en la práctica clínica al inicio de los años 80 y, sin embargo, esta es la única herramienta de imágenes que tenemos para la evaluación de la EM”, dijo el Dr. Menon. “Nuestra investigación proporciona una herramienta cuantitativa que utiliza una secuencia de imágenes relativamente convencional, pero con un novedoso análisis. Esta herramienta muestra que se ha producido un daño considerable en zonas que son comunes a todos los pacientes, tanto en la materia blanca como en las estructuras profundas (la materia gris) del cerebro. Estas medidas cuantitativas – a lo cual llamamos susceptibilidad cuantitativa – se correlacionan con los síntomas de la enfermedad”.
En el proceso se utilizó un sistema 3T para RM convencional de Siemens Healthcare (Erlangen, Alemania), así que puede ser reproducido en cualquier hospital, utilizando la técnica, llamada QS. Los investigadores graficaron este parámetro de RM para 25 pacientes con EM recurrente-remitente o con el síndrome clínicamente aislado (CIS. La mitad de las personas diagnosticadas con CIS pasarán a ser diagnosticadas con EM) y midieron la desmielinización y la deposición de hierro. También se examinaron los participantes de control del estudio, de quince años y clasificados por sexo. Mientras que las lesiones cerebrales y de la columna vertebral visualizadas mediante una exploración de RM tradicional tienden a aparecer y desaparecer con el tiempo, la QS reveló áreas de daño que son comunes a todos los pacientes y que se correlacionaban muy bien con la puntuación ampliada del estado de discapacidad (EDSS), la cual es el método estándar que se utiliza para medir la progresión de la EM, así como con la edad y el tiempo desde el diagnóstico.
“Es significativo que, aun cuando no viéramos lesiones de ningún tipo en la materia blanca, logramos medir el daño en la misma zona para todos los pacientes usando los gráficos de la QS. Así que incluso en las etapas muy tempranas de la enfermedad, cuando la puntuación de discapacidad es muy baja o cuando la persona aún no ha sido diagnosticada con EM, ya hay un daño significativo”, agregó el Dr. Menon. Esto podría tener importantes implicaciones para el diagnóstico y el pronóstico, ya que hay medicamentos disponibles para retardar o detener la progresión de la esclerosis múltiple, si se administran a tiempo.
