Resonancia magnetica cardiovascular corazón. La resonancia magnética cardiaca (RMC) es un una técnica de imagen para el estudio no invasivo del corazón, inocua ya que no utiliza radiación, bien tolerada y segura. Actualmente se encuentra disponible en la mayoría de hospitales. Permite estudiar en una sola exploración la función y estructura del corazón. Ofrece una imagen detallada del corazón, incluidas las cavidades y las válvulas. Está indicada para el estudio anatómico y funcional de cardiopatías congénitas, el origen anómalo de las coronarias, estudio de viabilidad y de perfusión del músculo cardiaco (con administración de contraste), estudios de función ventricular, estudio de miocardiopatías (enfermedades del músculo cardiaco), enfermedades del pericardio (capa de tejido que recubre al corazón) y masas cardiacas.
La resonancia magnética (RM) del corazón es un método imagenológico que usa imanes y potentes para crear imágenes del corazón y no utiliza radiación (rayos X).
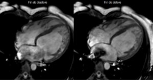
Las imágenes por resonancia magnética solas se denominan cortes y se pueden almacenar en una computadora o imprimirse en una película. Un examen produce docenas o algunas veces cientos de imágenes.
Una resonancia magnética no causa dolor. Un intercomunicador en el cuarto le permite a usted hablar con el operador del escáner en cualquier momento
Razones por las que se realiza el examen
Una resonancia magnética proporciona imágenes detalladas del corazón y los vasos sanguíneos desde múltiples planos. Con frecuencia, se emplea cuando se necesita más información después de que a usted le han hecho una ecocardiograma o una tomografía computarizada del corazón.
La resonancia magnética del corazón se puede utilizar para evaluar o diagnosticar:
- Daño al miocardio después de un ataque al corazón
- Anomalías congénitas del corazón
- Tumores y masas en el corazón
- Debilitamiento o problemas con el miocardio
- Síntomas de insuficiencia cardíaca
Significado de los resultados anormales
Los resultados anormales pueden deberse a muchas cosas, como:
- Trastornos de las válvulas cardíacas
- Líquido en la cubierta similar a un saco que rodea el corazón (derrame pericárdico)
- Tumor de los vasos sanguíneos o alrededor del corazón
- Mixoma auricular
- Cardiopatía congénita (problemas cardíacos con los que uno nace)
- Daño o muerte del miocardio visto después de un ataque cardíaco
- Debilitamiento del miocardio, que puede ser causado por sarcoidosis o amiloidosis
Riesgos
No existe radiación involucrada en una resonancia magnética. Asimismo, no se ha demostrado que los campos magnéticos y las ondas de radio utilizadas durante este procedimiento causen algún efecto secundario significativo.
Las reacciones alérgicas al medio de contraste empleado durante el examen son poco frecuentes. El tipo más común de medio de contraste (tinte) utilizado es el gadolinio y es muy seguro. La persona que opera el equipo vigilará la frecuencia cardíaca y la respiración en la medida de lo necesario. Se pueden presentar complicaciones poco comunes en pacientes con problemas renales graves.
Preparación para el examen
A usted se le puede solicitar no comer ni beber nada durante un período de 4 a 6 horas antes del examen.
Si usted le teme a espacios cerrados (sufre de claustrofobia), coméntele al médico. Le pueden dar un medicamento para ayudarlo a que le dé sueño y que esté menos ansioso, o el médico puede recomendar una resonancia magnética “semi-abierta”, en la cual la máquina no está tan cerca del cuerpo.
Antes del examen, coméntele al médico si usted tiene:
- Clips para aneurisma cerebral.
- Ciertos tipos de válvulas cardíacas artificiales.
- Desfibrilador o marcapasos cardíaco.
- Implantes en el oído interno (cocleares).
- Nefropatía o diálisis (posiblemente no pueda recibir el medio de contraste).
- Articulaciones artificiales recientemente puestas.
- Ciertos tipos viejos de stents (endoprótesis vasculares).
- Ha trabajado con láminas de metal en el pasado (puede necesitar exámenes para verificar si tiene partículas de metal en los ojos).
Debido a que el equipo para la resonancia magnética contiene imanes potentes, no se permiten objetos de metal dentro de la sala donde está el escáner.
- Lapiceros, navajas y anteojos pueden salir volando a través del cuarto.
- Artículos como joyas, relojes, tarjetas de crédito y audífonos pueden dañarse.
- Los prendedores, los ganchos para el cabello, las cremalleras metálicas u otros artículos metálicos similares pueden distorsionar las imágenes.
- Las prótesis dentales removibles se deben retirar justo antes del examen.




Hoy me han hecho una resonancia cardíaca con contraste y en la misma máquina un test de esfuerzo. He estado aproximadamente unos 90 minutos. He controlado bien todo el tiempo, agobio, nervios, ansiedad y la exploración ha finalizado bien. El personal técnico te ayuda mucho, es muy amable y te informa continuamente sobre el desarrollo de las pruebas. El Hospital Politécnico La Nueva Fe de Valencia quiero agradecerle sus atenciones.