La hidrocefalia de presión normal es una condición que puede ser difícil de diagnosticar debido a que los síntomas se parecen a otros tipos de enfermedades como el Alzheimer y también pueden confundirse con los de la enfermedad de Parkinson. Un buen diagnostico de esta condición que afecta al cerebro, puede cambiar la calidad de vida de las personas mayores.
Muchas personas atribuyen la pérdida de la memoria o el caminar lento a los síntomas normales de la vejez. Si bien, con el paso de los años esto puede suceder, cuando estos síntomas se agravan al punto de afectar el funcionamiento diario de la persona, pueden tratarse de alguna condición de deterioro mental que requiere atención.
La enfermedad de Alzheimer y la enfermedad de Parkinson (mal de Parkinson) encabezan la lista de las enfermedades que con más frecuencia afectan la actividad cerebral de las personas mayores. La pérdida de la memoria progresiva, los problemas para caminar y movimientos lentos, la pérdida del control de la vejiga, los problemas para tener una conversación y seguir una idea, son síntomas que comparten estos tipos de demencia.
Sin embargo, hay uno, la hidrocefalia de presión normal que no se diagnostica muy seguido porque no es muy común y que, curiosamente, comparte estos signos de deterioro con el Alzheimer y el Parkinson. Pero hay algo que no comparte y es que la hidrocefalia de presión normal sí se puede tratar y mejorar significativamente.
Es por esto que no diagnosticarla o hacerlo equivocadamente es muy grave, ya que priva a los pacientes de recibir el tratamiento oportuno.
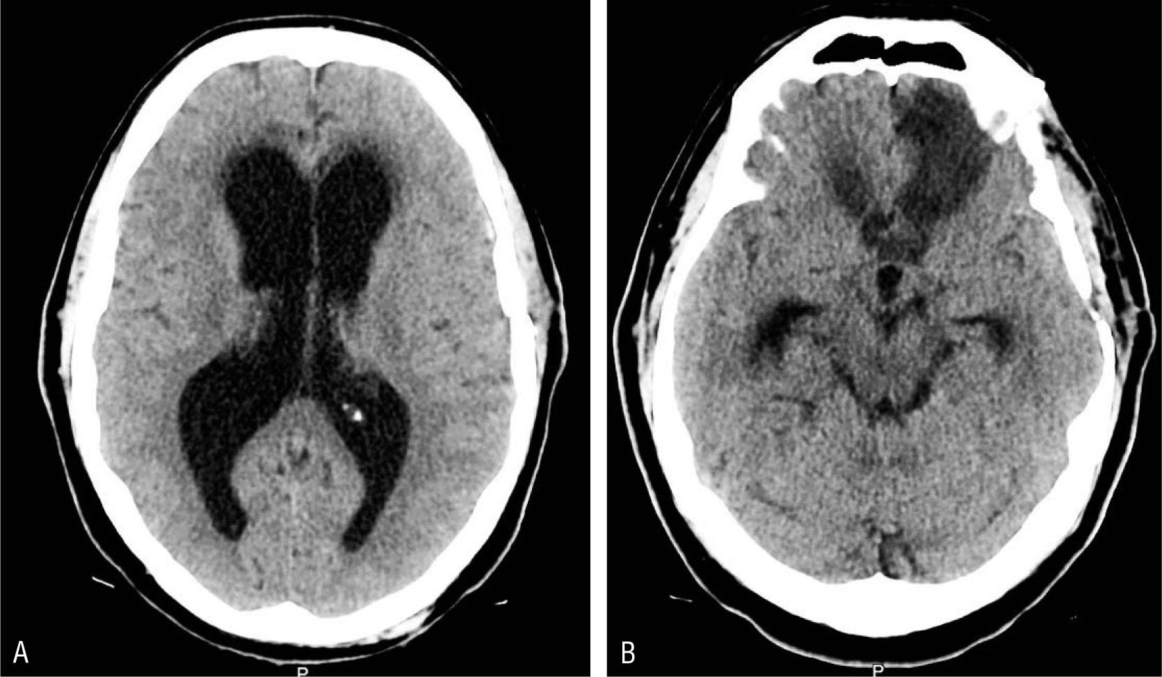
¿De qué se trata la hidrocefalia de presión normal? Se trata del aumento anormal del líquido cefalorraquídeo en las cavidades del cerebro. Sucede cuando el flujo de dicho líquido entre el cerebro y la médula espinal se obstruye de alguna manera. Cuando esto sucede, las cavidades o ventrículos aumentan de tamaño y ejercen mucha presión sobre el cerebro. En ocasiones puede ser el resultado de algún golpe traumático en la cabeza con hemorragia, de alguna infección, de un tumor o de complicaciones debidas a alguna cirugía.
Como la hidrocefalia de presión normal con frecuencia no se incluye entre los diagnósticos, en el 2005 un equipo científico de varios países creó una serie de recomendaciones para ayudar a los médicos a diagnosticar esta enfermedad que fueron publicadas en la revista Neurosurgery.
Para establecer el diagnóstico preciso, el médico puede hacer varios exámenes detallados con imágenes del cerebro, tales como la tomografía computarizada o de resonancia magnética. También puede hacer una punción en la zona lumbar, medir la presión intracraneal y solicitar pruebas neuropsicológicas para descartar otros problemas.
Cuando se diagnostica acertadamente, los pacientes tienen la buena noticia de que la hidrocefalia de presión normal sí tiene tratamiento y, muchas veces su calidad de vida mejora significativamente. Este consiste en la instalación, mediante cirugía, de un sistema en el cerebro para drenar el líquido cefalorraquídeo hacia el abdomen, donde puede ser absorbido. De esa manera, se disminuye la presión que el líquido ejerce sobre las cavidades del cerebro.
Por supuesto, el tratamiento requiere seguimiento del médico para asegurarse de que los síntomas no regresen. Por lo general, las personas que son sometidas a este tratamiento para desviar el líquido al abdomen, pueden recuperarse y vivir muy bien.
Por eso es tan importante que ante la aparición de los síntomas de demencia, hables con tu médico para discutir la posibilidad de que se trate de una hidrocefalia de presión normal, para evitar que los síntomas empeoren al no recibir tratamiento. Si tienes dudas acerca del diagnóstico, pide una segunda opinión. El especialista es el neurólogo.
Quiero info