por Diagnóstico Especializado | Jun 9, 2015 | Blog Médico, Radiología, Ultrasonido HD |
Te presentamos con orgullo nuestro nuevo Ultrasonido HD live* 4Dcon un realismo anatómico excepcional, que ayudara a un mejor diagnostico y al aumentar la percepción de profundidad nos da una imagen fiel en Alta resolución (HD) de cómo luce el bebe. Es una...
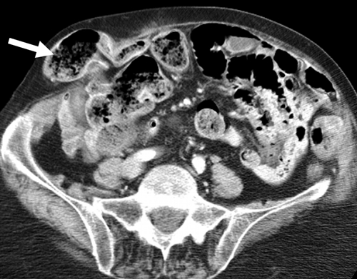
por Diagnóstico Especializado | Jun 4, 2015 | Blog Médico, Radiología, Tomografía Axial Multicorte (TAC), Ultrasonido HD |
Diagnóstico de hernia inguinal. Se denomina hernia a la parte de un órgano que sobresale a través de una abertura anormal o de manera anormal. La hernia de ingle (inguinal) ocurre cuando una parte del intestino sale a través de un punto débil de la pared abdominal en...
por Diagnóstico Especializado | May 25, 2015 | Blog Médico, Laboratorio de análisis clínicos, Radiología, Ultrasonido HD |
¿Está usted totalmente confundida con el tema de cómo contar las semanas de embarazo? ¿no tiene muy clara su fecha de ultimo periodo? El propósito de estos cálculos es saber la fecha probable en que nacerá el bebé y la fecha en la que se deben hacer ciertas pruebas...
por Diagnóstico Especializado | May 25, 2015 | Blog Médico, Mamografía Digital, Radiología, Rayos X, Resonancia magnética, Tomosíntesis, Ultrasonido HD |
Las mamografías en 3D también conocidas como tomosíntesis, es un nuevo sistema de detección de cáncer de mama, que mejora en un alto porcentaje el diagnóstico de esta enfermedad respecto al método bidimensional, mamografia convencional. Las tomografías se basan en...
por Diagnóstico Especializado | Abr 13, 2015 | Blog Médico, Laboratorio de análisis clínicos, Radiología, Rayos X, Resonancia magnética, Tomografía Axial Multicorte (TAC), Ultrasonido HD |
¿Cómo se diagnostica el cáncer de páncreas?. Al cáncer del páncreas, se le conoce como una enfermedad “silenciosa” pues no tiene síntomas iniciales. Sin embargo, últimamente es uno de los cánceres diagnosticados con mayo frecuencia. ¡Entérate para que estés...
por Diagnóstico Especializado | Mar 17, 2015 | Blog Médico, Laboratorio de análisis clínicos, Radiología, Ultrasonido HD |
¿Tu tiroides no produce suficiente hormona tiroidea… o produce demasiada? Ya sea hipotiroidismo o hipertiroidismo, tu salud se resiente. Y es preciso que estés atento a los síntomas que se producen para que puedas tomar medidas lo antes posible. ¡Parece mentira lo que...